Skip to content Skip to sidebar Skip to footer

Widget HTML #1

How To Remove Hard Plaque From Teeth At Home - Hey guys, you are welcome back to my channel i want a very simple and natural way to remove plaque from your teeth.

How To Remove Hard Plaque From Teeth At Home - Hey guys, you are welcome back to my channel i want a very simple and natural way to remove plaque from your teeth.. Mix baking soda with salt, or simply use baking soda for this job. Vitamin c heavy fruits are great for removing plaque at home. Plaque can build up between your teeth, where it's hard to remove simply by brushing. This is one of the oldest natural remedies for home plaque removal. In order to remove plaque from dentures, first you need to remove the denture from your mouth.

All you need is a teaspoon of baking soda, toothpaste, salt (optional) and a toothbrush. They have specialized tools and more precise scrapers to get rid of plaque and other bacteria deeper between your teeth. By releasing oxygen it reduces anaerobic bacteria count, and by breaking through the slime barrier (which protects a biofilm) it. Brush the length of the teeth up and down using small motions. Taking care of your teeth at one home is just one part of holistic dental health.

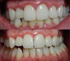
3 Ways To Remove Plaque Wikihow
3 Ways To Remove Plaque Wikihow from www.wikihow.com
If your teeth have felt rough or you've noticed hardened plaque buildup on your teeth, the best way to remove it is by getting a professional clean from a registered professional. They have specialized tools and more precise scrapers to get rid of plaque and other bacteria deeper between your teeth. Once it has softened, tartar becomes easier to remove with a denture brush and cleaning paste formulated for use with false teeth. When not removed from your teeth promptly, tartar buildup can increase your risk for a wide range of oral health problems, including gum disease. Dip your damp toothbrush into some baking soda and then just brush your teeth. Brushing twice daily with a fluoride toothpaste and flossing once daily are the best ways to remove plaque from teeth and prevent tartar from forming. Without scaling in 3 minutes, white teeth and healthy as learn Then leave the brush handle sticking up out of your mouth, just like the thermometer in my story.

This might sound simple, but what is important here is that you get a good opportunity to clean any remaining teeth, and brush other areas including the roof of your mouth, gums and tongue.

Brush your teeth as normal. Showed greater removal of plaque with a powered toothbrush. Repeat the procedure with the other remaining foil and teeth, leave it for just 2 minutes and then remove the foil paper and wash your mouth with the regular tap water. Take one part of aluminum foil and fold it slightly and place some mixture on it and spread it well and put this foil to the upper teeth and press slowly. To successfully remove plaque from the inside of the lower front teeth, the game is to angle the tip of the brush down under your tongue. Mix baking soda with salt, or simply use baking soda for this job. Hey guys, you are welcome back to my channel i want a very simple and natural way to remove plaque from your teeth. Keep it on the bristles of your toothbrush and brush your teeth with it. After brushing your teeth, spit the baking soda out repeat the process for around five minutes. Soaking your false teeth in a half and half solution of vinegar and warm water will soften the tartar. Simply shake a small amount of baking soda into a bowl, wet your toothbrush, then dip the bristles into the baking soda to coat. This simple trick is actually very efficient in removing hard tartar and plaque. Brush at an angle and include your gums.

Brushing twice daily with a fluoride toothpaste and flossing once daily are the best ways to remove plaque from teeth and prevent tartar from forming. In order to remove plaque from dentures, first you need to remove the denture from your mouth. After brushing your teeth, spit the baking soda out repeat the process for around five minutes. All you need is a teaspoon of baking soda, toothpaste, salt (optional) and a toothbrush. Since your toothbrush can't reach all your tooth and gum surfaces, remember to floss (also known as interdental cleaning) once a day, too.

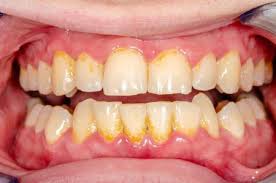
How To Remove Tartar And Plaque From Teeth 11 Home Remedies
How To Remove Tartar And Plaque From Teeth 11 Home Remedies from cdn2.stylecraze.com
If your teeth have felt rough or you've noticed hardened plaque buildup on your teeth, the best way to remove it is by getting a professional clean from a registered professional. Keep it on the bristles of your toothbrush and brush your teeth with it. According to mothernature.com, the good old baking soda can also help you remove the plaque from your teeth. In order to remove plaque from dentures, first you need to remove the denture from your mouth. Mash together oranges, tomatoes, and strawberries into a thick paste. To get rid of plaque and tartar. This simple trick is actually very efficient in removing hard tartar and plaque. After brushing your teeth, spit the baking soda out repeat the process for around five minutes.

All you need is a teaspoon of baking soda, toothpaste, salt (optional) and a toothbrush.

By releasing oxygen it reduces anaerobic bacteria count, and by breaking through the slime barrier (which protects a biofilm) it. Since your toothbrush can't reach all your tooth and gum surfaces, remember to floss (also known as interdental cleaning) once a day, too. Leave to rest for five minutes and then rinse thoroughly. Soaking your false teeth in a half and half solution of vinegar and warm water will soften the tartar. Mix baking soda with salt, or simply use baking soda for this job. This video about how to remove plaque without going to the dentist. This might sound simple, but what is important here is that you get a good opportunity to clean any remaining teeth, and brush other areas including the roof of your mouth, gums and tongue. Simply shake a small amount of baking soda into a bowl, wet your toothbrush, then dip the bristles into the baking soda to coat. This simple trick is actually very efficient in removing hard tartar and plaque. Take one part of aluminum foil and fold it slightly and place some mixture on it and spread it well and put this foil to the upper teeth and press slowly. If you like, you can also mix a pinch of salt into the baking powder. After brushing your teeth, spit the baking soda out repeat the process for around five minutes. Brush regularly, twice a day for 2 minutes a time.

Removal of the plaque and tartar from the teeth is a quite complex process, so it is very essential to find the home remedies for plaque to remove the plaque and removal of teeth tartar removal at home. First, soak your dentures in the solution. Mix baking soda with salt, or simply use baking soda for this job. Baking soda can help in removing plaque from your teeth. Simply shake a small amount of baking soda into a bowl, wet your toothbrush, then dip the bristles into the baking soda to coat.

Debridement Dental Wikipedia
Debridement Dental Wikipedia from upload.wikimedia.org
While you can't safely remove tartar at home, with an excellent oral hygiene routine, plaque removal can be done by following these steps: First, soak your dentures in the solution. Removing tartar with hydrogen peroxide (in form of 3% solution) this ingredient is effective in plaque removal as well as teeth whitening (in higher concentrations), but it's not effective in tartar removal. Hey guys, you are welcome back to my channel i want a very simple and natural way to remove plaque from your teeth. Brushing twice daily with a fluoride toothpaste and flossing once daily are the best ways to remove plaque from teeth and prevent tartar from forming. Plaque can build up between your teeth, where it's hard to remove simply by brushing. Brush regularly, twice a day for 2 minutes a time. Vitamin c heavy fruits are great for removing plaque at home.

This is natural methods to get rid of plaque at home.you can try this home remedis to tre.

According to mothernature.com, the good old baking soda can also help you remove the plaque from your teeth. First, soak your dentures in the solution. Removal of the plaque and tartar from the teeth is a quite complex process, so it is very essential to find the home remedies for plaque to remove the plaque and removal of teeth tartar removal at home. You should still regularly visit a dentist (about twice a year is best practice). If your teeth have felt rough or you've noticed hardened plaque buildup on your teeth, the best way to remove it is by getting a professional clean from a registered professional. Put some baking soda on your dampened toothbrush and scrub away the plaque. Then leave the brush handle sticking up out of your mouth, just like the thermometer in my story. Keep it on the bristles of your toothbrush and brush your teeth with it. If you find this video helpful please hit. While you can't safely remove tartar at home, with an excellent oral hygiene routine, plaque removal can be done by following these steps: Dip your damp toothbrush into some baking soda and then just brush your teeth. Then rinse your mouth out with a cap full of a warm water and hydrogen peroxide mix. After brushing your teeth, spit the baking soda out repeat the process for around five minutes.

Then rinse your mouth out with a cap full of a warm water and hydrogen peroxide mix how to remove hard plaque from teeth. Hey guys, you are welcome back to my channel i want a very simple and natural way to remove plaque from your teeth.